动态平板DR旗舰 第三代床式动态DR

至臻影像,一触即得

388vip太阳集团科技第三代床式动态DR凝聚了动态成像技术的结晶,超高的硬件配置与多项影像黑科技,为你创造极致影像。

动态超清大平板

搭载超清大视野动态平板探测器,精准捕捉病灶,极致影像唾手可得,600微米碘化铯大幅提升X线转化效率,独特的非晶硅阵列与高速读取集成电路紧密协作,将实现多帧率透视与高清点片。

  • 800万+

    像素高清点片

  • 多帧率

    高速透视与采集

  • 17*17

    大幅面成像

  • 0.8秒

    动静切换

一机多用,实现全科室应用

拍片、透视、造影,无缝切换,样样精通

  • 拍片

    适用于全身各部位摄影

    (常规摄影和特殊摄影)

  • 透视

    适用于全身各

    部位透视检查

  • 造影

    适用于各种普通

    及特殊胃肠造影检查

自主研发影像工作站,黑科技让影像更出色

388vip太阳集团自主研发多项具备发明专利的图像处理技术,成就黑科技,成就出色影像

全面应用

  • 特有视频保存与回放功能

    对胃肠造影检查影像实时保存,多次回放以便确定病灶部位,患者确诊好帮手,减少漏诊。

  • 标配全身拼接功能

    无缝融合处理,保证高质量全景影像。

  • 自动曝光控制功能(IDC)

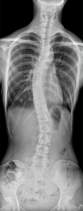
临床图像

有关388vip太阳集团
公司简介
发展历程
企业社会责任
包豪斯理念
新闻
公司新闻
创新产品矩阵
创新负重锥束 CT 系列
创新动态功能悬吊 DR 系列
创新动态断层多功能胃肠 DR 系列
创新移动动态功能 DR 系列
创新DBT三维断层乳腺机
创新移动动态 C 臂系列
用户服务
客户服务
客户关爱
加入我们
社会招聘
校园招聘
成长在388vip太阳集团
联系我们
联系方式
客户留言